Curso de Odontología Restauradora – Santiago de Compostela
Odontología Restauradora · Santiago de Compostela
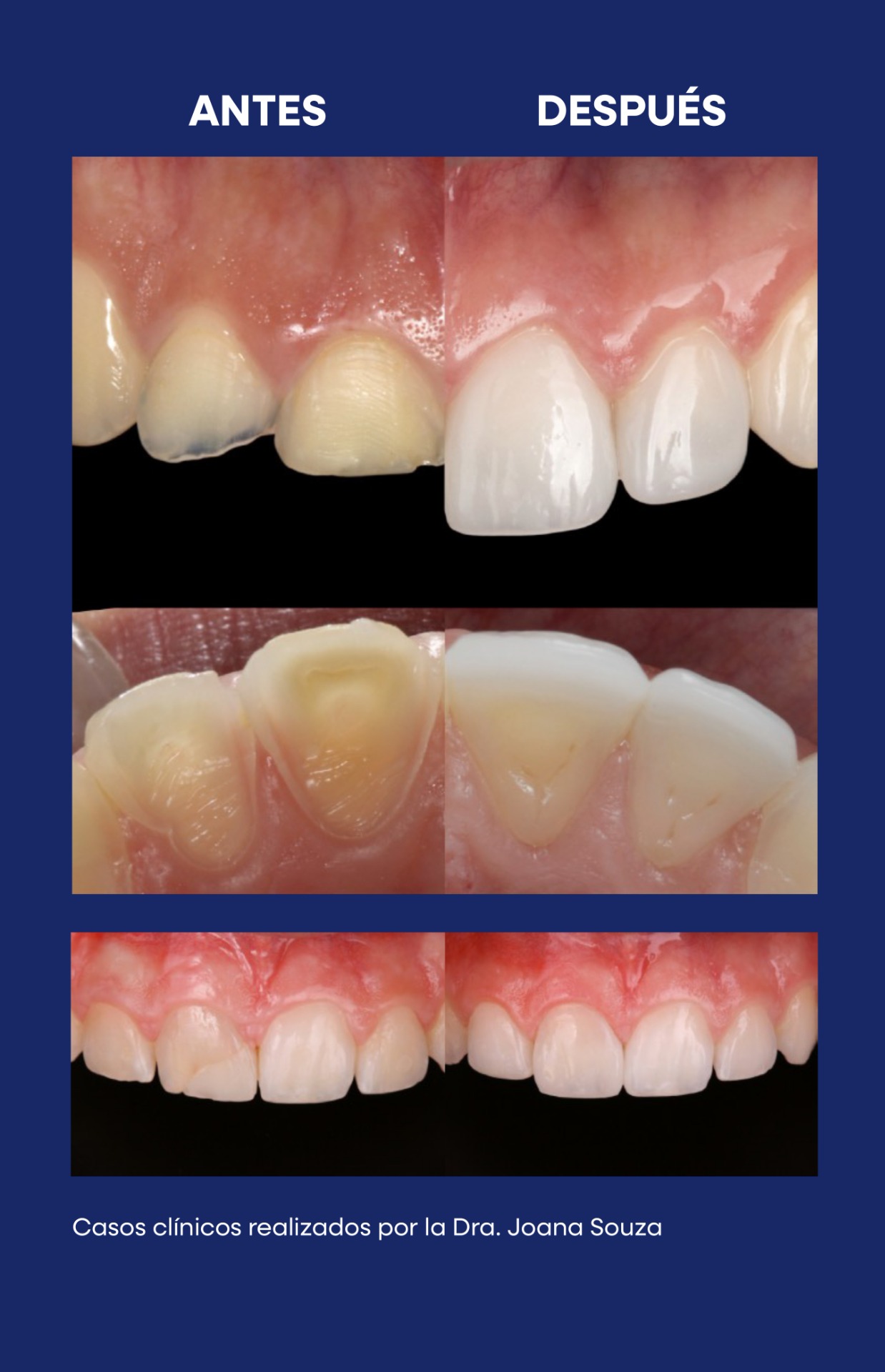
Facetas de Composites:
la estética predecible
Aprende a transformar sonrisas con resultados clínicos extraordinarios
"La odontología estética no es solo técnica — es el arte de devolverle a alguien la confianza en su sonrisa. Este curso te da las herramientas para lograrlo de forma predecible, sesión tras sesión."
Contenido del curso
Programa completo
Un día intensivo: mañana teórica con los fundamentos clínicos más actuales, tarde práctica sobre maniquí para consolidar cada técnica.
Mañana · Parte Teórica
Fundamentos & Protocolo
- Análisis de la sonrisa y planificación restauradora
- Blanqueamiento dental: at-home e interno
- Encerado convencional y digital
- Mock-up y llaves de silicona
- Toma de color en resina compuesta
- Protocolo de facetas de resina compuesta en frente anterior
- Enmascaramiento con resina compuesta en diente oscurecido
- Restauración de dientes conoides
- Rehabilitación de casos complejos — facetas directas e indirectas
- Mantenimiento de restauraciones de resina compuesta
Tarde · Parte Práctica
Manos a la obra
- Faceta de composite del 1.1 y Restauración Clase IV del 2.1
- Protocolo completo de acabado y pulido de facetas de resina compuesta
Horario del día
🕘 09:00h — Inicio teórico
☕ Coffee break incluido
🍽 Almuerzo incluido
🕗 19:30h — Cierre de jornada
Tu instructora
Dra. Joana
Souza
Licenciada en Odontología — Facultad de Odontología de Brasília, Brasil, 2004
Máster en Odontología Estética — Universidad Complutense de Madrid, 2009
Doctorado con mención "Cum Laude" — Universidad Rey Juan Carlos, 2021
Profesora de Odontología — Universidad Europea de Madrid, 2016–actualidad
Dictante nacional e internacional — formadora en múltiples países
Práctica privada en Madrid — desde 2009 hasta la actualidad
Información práctica
Todo lo que necesitas saber
Fecha
12 de junio de 2025
Horario
09:00 h – 19:30 h
Duración
10 horas formativas
Sede
C3D Santiago — Centro de Diagnóstico Avanzado
Dirección
Área Central, Local 32 AB, Planta 1ª — 15707 Santiago de Compostela
Formato
Teórico-Práctico presencial
El curso incluye
Precio del curso
€300
Precio único · Plazas muy limitadas
🎁 De regalo al inscribirse
✦ Kit Normopul 1×1 (fresas de pulido)
✦ Kit Normofil Nanoceram (composite)
Información y reservas
Contacta con nosotros
Estamos disponibles para resolver todas tus dudas sobre el curso y gestionar tu inscripción.
¿Listo para llevar tu
odontología estética al siguiente nivel?
Un solo día de formación con una de las expertas más reconocidas de España. Teoría, práctica y los materiales más avanzados del mercado. Solo quedan plazas limitadas.
Información y reservas: +34 626 28 21 23 · C3D Santiago · 12 de junio





